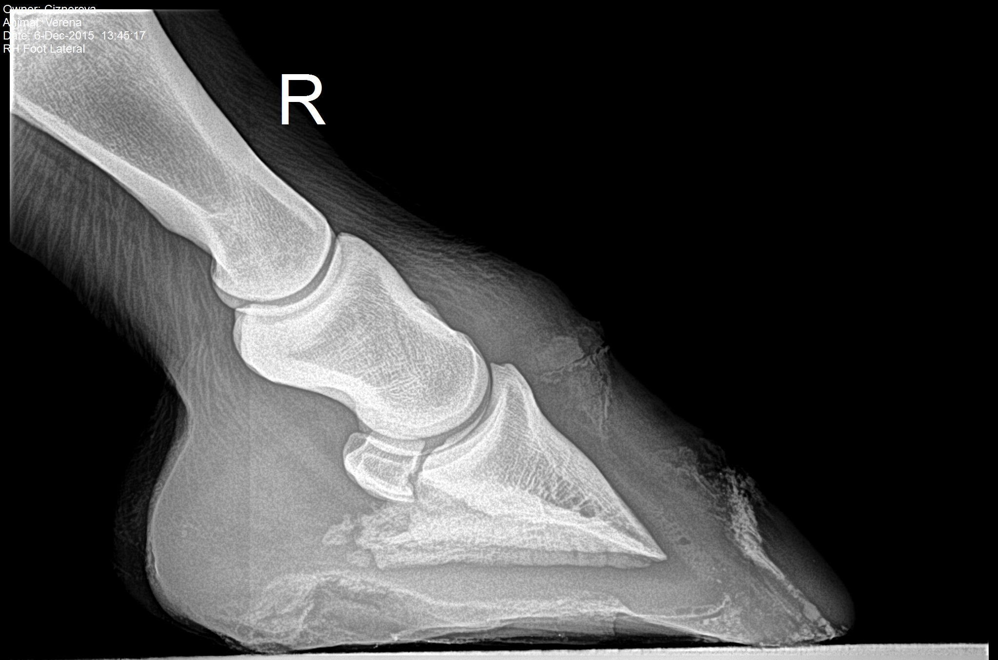
Na naše pracoviště byla zakoupena pro potřeby hipatrické praxe,vedené MVDr.Lenkou Vajsovou,nová přímá digitalizace RTG obrazu,která v obtížných terénních podmínkách zabezpečuje rychlé zhotovení kvalitního RTG snímku.
DR-Tech Equine Case
mobilní přímá digitalizace pro hipatrickou praxi
Jedná se o zařízení,kde flat panel DR-Tech je zabudován v mobilním kufru spolu s PC.Kufr pak společně s mobilním rentgenem tvoří kompaktní jednotku,přenosnou,vhodnou do terénní hipatrické praxe,pomocí kterého lze získat rtg snímky v excelentní kvalitě během několika málo sekund.
Hlavní výhody:
-špičková kvalita obrazu díky flat panelu DR-Tech FDXD 810
-maximální mobilita/kompletní rtg pracoviště v jednom kufru
-hmotnost detektoru pouze 3,2 Kg
-bezdrátová synchronizace s RTG
-špičková PC stanice,NTB Dell
-Cowboy podoblock All in one set(ochranný blok pro detektor,odnímatelná distanční držák detektoru,odnímatelná nožička)



| 9 - 12 | 13 - 17:30 | |
|---|---|---|
| Po | MVDr. Vondřička MVDr. Irber |
MVDr. Vondřička |
| Út | MVDr. Vondřička MVDr. Irber |
MVDr. Polanková |
| St | MVDr. Vondřička MVDr. Irber |
MVDr. Vondřička MVDr. Irber |
| Čt | MVDr. Vondřička MVDr. Polanková |
MVDr. Polanková |
| 9 - 12 | 13 - 16:30 | |
|---|---|---|
| Pá | Malisova,Pola,Irber | MVDr. Vondřička MVDr. Polanková |
| 9 - 12 | 13 - 17 | |
|---|---|---|
| So | MVDr. Vondřička | Telefon |
| 9 - 12 | 15 - 17 | |
|---|---|---|
| Ne | Telefon | Telefon |
Chcete se objednat?
Můžeme Vám s něčím pomoci?
Neváhejte nás
kontaktovat.